

韓國登騰骨組織再生產品
多層結構·無正反面·操作方便
生物可降解的屏障膜引導骨組織再生
Collagen Membrane 口腔可吸收生物膜
? 優異的空間維持功能
? 生物可降解的屏障膜引導骨組織再生
? 多層結構,操作方便,強度可滿足臨床需要
? 吸收時間滿足植骨整合與骨骼生長的要求
? 無正反面,雙面療效相同
Collagen Membrane 適用于
用于下列牙周和牙槽骨軟硬組織修復治療,起物理阻隔作用,防止充填材料移動
? 牙周骨及骨內缺損
? 牙槽嵴增高
? 預備種植或即刻種植時的拔牙窩填充
? 上頜竇提升
| 型號 | 尺寸(mm) | 厚度(mm) |
| GCM1020 | 10X20 | 0.3 |
| GCM1520 | 15X20 | |
| GCM2030 | 20X30 |
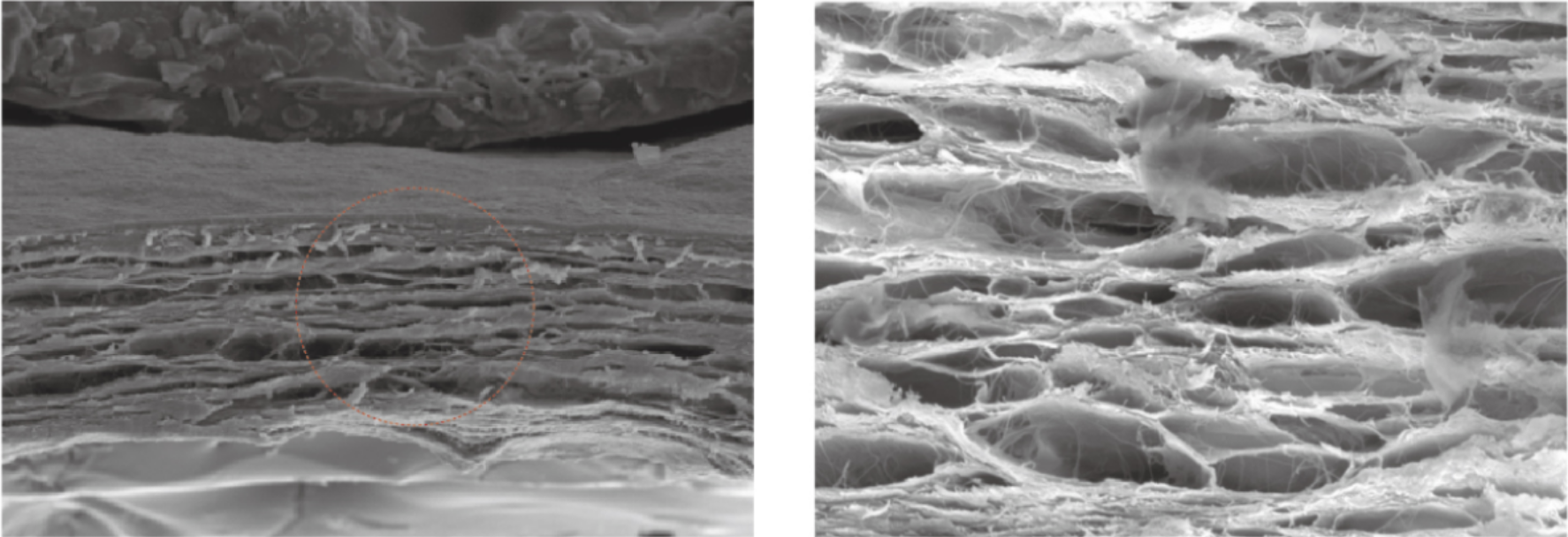
顯微結構圖

臨床病例

廣告 京械廣審(文)第281228-22643號 國械注進 20183172706 口腔可吸收生物膜 禁忌內容或者注意事項詳見說明
本介紹內容僅限于產品說明,不涉及任何治療效果或使用效果暗示。禁止非專業人員參照使用